Orthodontic Services in Trussville & Oneonta, AL

Digital X-Rays
Digital radiography offers the advantages of reduced radiation, clearer image feature for diagnosis, and less wait time for patients.

Digital Intraoral Scanning
Intraoral digital scanning improves your experience by eliminating the need for “goop and gag” impressions. They also produce accurate results the first time, reducing the time you spend in the dental chair.

Invisalign
Invisalign trays are invisible! They are completely clear so they don’t detract from your face or smile. This is an especially great option for adults and teens who want to live life without the brackets and wires associated with traditional braces.

Clear Braces

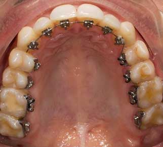
Lingual Braces
Lingual braces have the same components as conventional braces, but they’re fixed to the back, or lingual, side of your teeth. Because of this, lingual braces allow for a more discreet option for orthodontic patients not willing to wear traditional braces for a lengthy amount of time.

Color Variety
Braces colors abound! The elastic bands that surround the metal or ceramic brackets are offered in a number of different colors, so you can choose the shade that’s right for you at each visit. Whether you want to complement your skin tone or get festive with your look, braces colors can be used to help you feel confident until your braces are ready to come off.
Contact Us
"*" indicates required fields
Feel free to Call 205-749-1242 to schedule your free consultation at one of our convenient locations today!
Deerfoot/Trussville,/Clay/Pinson/ Springville
6840 Murray Drive Clay, AL 35126
Oneonta/Blount County
401 2nd Avenue West Oneonta, AL 35121
You may also shoot us an e-mail at [email protected] and we will reply as soon as possible!
